NewPosts
- 
	
		  横風が強い日に東京ゲートブリッジを走るのは怖い?人の少ない都内ツーリングツーリングするのによい季節がやってきた! と楽しみにしていたら、全く想像してい...
- 
	
		  ヤマハMT-07に2年経過、1年でかかった維持費他2020年4月でMT07に乗りかえてから2年経ちました。 1年前に1年でかかった費用をまと...
- 
	
		  白熱球からLEDバルブに交換・バンディット1250Fバンディットの白熱球をLEDバルブに交換しました。 LED化した個所 ウインカー テー...
- 
	
		  1万円アクションカメラAKASO・V50Xのレビュー新しいMT-07用のアクションカメラです。自分の記録や遊びでつかうならこれで十分。...
- 
	
		  【MT-07の車検】レッドバロンの車検でかかった費用ツーリングシーズンだけど、全くバイクに乗っていません。 外出自粛要請や緊急事態...
- 
	
		  バイクキャンプの必需品厳選!軽量・コンパクトな道具で快適な冒険を楽しもうキャンプツーリングのときはバイク2台ですが、それでも荷物がかさばるな、と思っ...
- 
	
		  風の強い日にバイクを安全に運転する方法って!?バイクを倒しました最近、バイクに乗る日は風が強い日に当たります。 前後からくる風ならいいのですが...
- 
	
		  足利峠~富士山スカイライン~昇仙峡・春の富士山ツーリング久しぶりに少し長めの距離「神奈川~静岡~山梨」を走ってきました。 富士山が主役...
- 
	
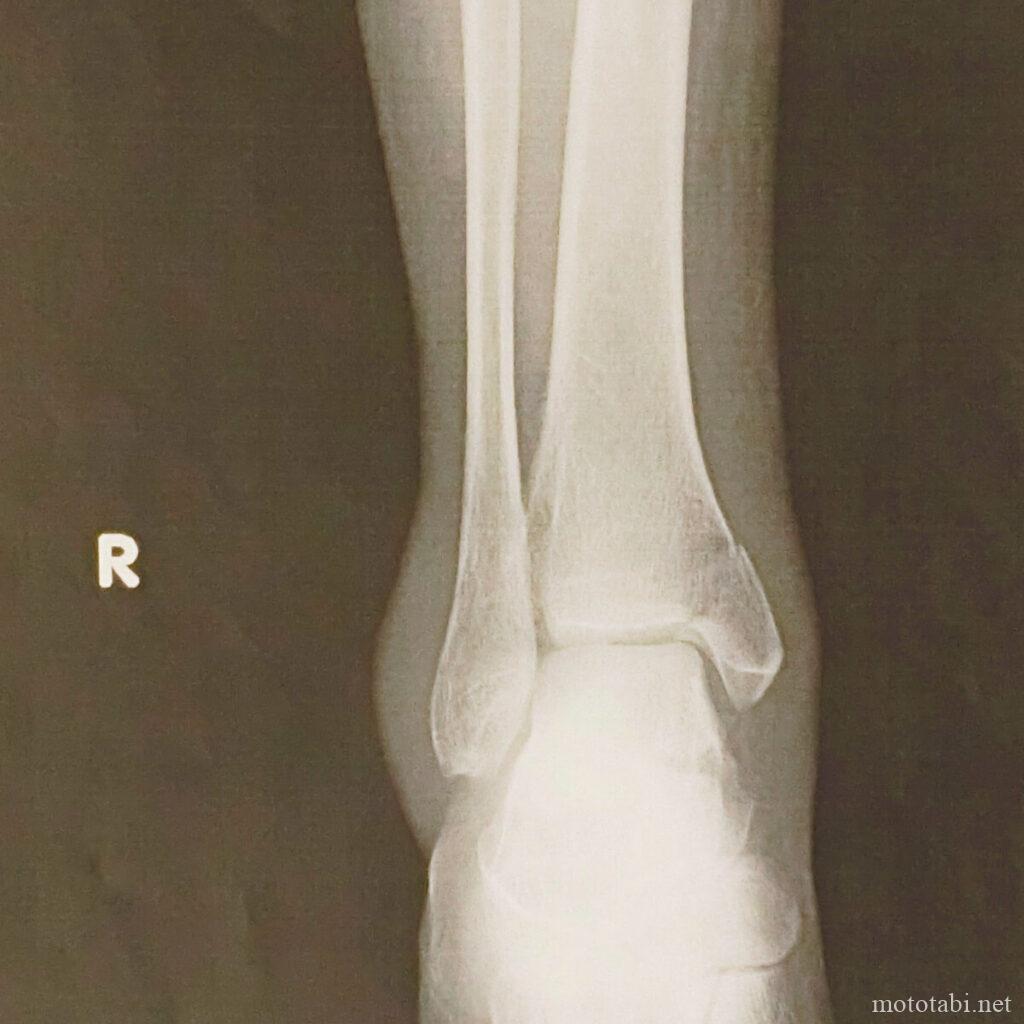
		  【骨折記録】半年、1年、1年半経過でどうなったか、ボルトは抜くのか骨折してから半年後、1年後、そして1年半後の記録です。 2019年9月、バイクで転倒...
- 
	
		  POWERAGEのプロテクターPORONは軽い&安全で安心|胸部用夏はバイクに乗ると高い確率で熱中症になるので、メッシュジャケットを買いました...
- 
	
		  都内発半日ツーリング・名栗湖(有間ダム)~サイボク(肉)埼玉までちょっとだけ走ってきました。 走った距離は150km弱。 3月なのに日中は17℃...
- 
	
		  【茨城】筑波山周辺ツーリング|沈下橋(山小目沼橋)と川と山3連休の2日目に、茨城の筑波まで走ってきました。 快晴でツーリング日和! と思っ...
