2019年9月、山梨県のクリスタルラインを走行中に転倒し、足首を骨折しました。
足関節骨折した日から5日目に入院し、ボルトを入れる手術をしました。
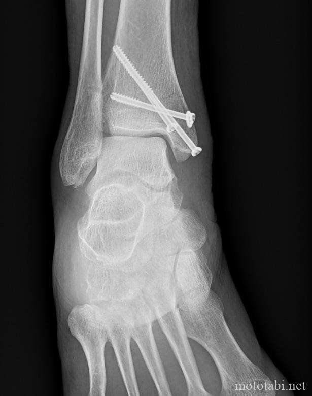
ボルトはそのままでも問題がないと説明がありましたが、私の場合はくるぶしあたりが痛くなることがあります。1年前に病院でレントゲンを撮ったとき、ボルトがゆるんでくるぶしあたりに当たっていると言われました。
1年ぶりに病院へ
現在、仕事を辞めて余っていた有給休暇を消化中。次の仕事まで少し時間があるので、手術&通院していた病院へ行くことにしました。
担当医がいる日は週1の午前中のみ。早朝に到着するよう高速バスを使いました。JR奈良駅前、21:55出発のバスを予約。

ルートをちゃんとチェックしていませんでしたが、香川~東京のバスと同じ東名高速経由だろうと思っていました。
3列シートのバスだったのでくつろげず。何度も目が覚め、身体のあちこちが痛かったです。起きるたびにスマホのマップで現在地を確認していました。
もうすぐ沼津だ!とマップをチェック後、しばらくしてまたチェックしたら・・・
河口湖付近・・・
中央自動車道経由なのか!?
それからしばらくするとアナウンスが流れました。東名で事故があり渋滞していたので、迂回したら今度は大月あたりから工事渋滞。
予定外の談合坂SAで休憩。

久しぶりにみた山梨の景色。

その後、そのまま中央自動車道経由かと思ったら、厚木方面へ。
東名高速へまた戻り渋滞。
横浜駅経由かと思ったら、用賀PAと池尻大橋で停車するバスでした。そこで停車せず、そのまま中央自動車道で新宿に出た方が早かったでしょう。
骨折で入院していた病院へ

結局3時間遅れで新宿に到着し、埼京線で十条駅へ。
病院は間に合いましたが、朝一番ではなかったので、混んでいました。
レントゲンの結果

レントゲンの結果、1年前とボルトの位置は変わっていないそう。
緊急に手術する必要はないけれど、いずれ手術することにしました。
紹介状と骨折のレントゲンデータをもらう
ただし、私が手術した病院は現在手術を行っておらず、東京の別の病院か他の病院かの2択。地元に近い東京の方が良いのではないかなと思い、東京の他の病院への紹介状を書いてもらいました。その他、今までのレントゲン結果をデータでもらいました。
手術するならあと3回奈良~東京の往復をする必要があり、交通費だけでも結構かかります。時間が経ってから、大阪あたりの病院でもよくないか!?と思いはじめました。紹介状の宛先が違うけど。
さて、どうしようか。
その後→骨折の手術で入れたボルトを取る(抜釘)手術の病院探しが大変すぎた話
帰宅は新幹線で

日帰りで帰ることはできましたが、疲れたので実家に泊まりました。翌日、久しぶりに海浜幕張のアウトレットへ。アウトレットって散々見た挙句、買うものがない。
その後、東京で最後に働いていた職場の人とちょっと会ってから東京駅へ。やっぱり新幹線の方が楽だ。

お土産に真空パックのシウマイを購入。

支払うときに「すぐ食べられませんがよろしいでしょうか?」と聞かれました。すぐ食べれると思い買おうとする人がいるってことだろうか。
